1、艾条艾灰的妙用:第一个妙用:可以做成面膜。经济实惠、效果也不错。爱美的男、女性朋友们,可以用艾灰和蛋清,或者用艾灰加牛奶、蜂蜜调的稠稠,搅拌均匀后,涂在脸上,像面姆殡鸺架膜的形式来使用。二十分钟后用清水洗干净。您会发现,皮肤不仅变白了一些,而且特别细腻透亮。

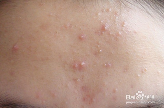
2、第二个妙用:有助于消除青春痘。阳光秀气的男女青年,如果脸上长了青春痘,可以说是苦了爱美的青年男女,长了痘痘,发红发肿,怎么办呢?这个时候我们可以在青春痘处抹上一些艾灰,痘痘会很快干瘪的,慢慢就会掉落了,不会留痘印哦!万事万物都是这么神奇的。

3、第三个妙用:可以与洗面奶一起洗脸。在洗面奶里加一些灰灰,用来洗脸,洗后你会发现,特别干净、而且有清爽的感觉。

4、第四个妙用:作为除味剂去除异味。艾灰是天然的除味剂,你可以用小布袋子装起来,放在洗手间、厨房、杂物间等,能够起到去除异味。效果可以与竹炭相媲美呦。

5、第五个妙用:有助于治疗脚气。很多有脚气的朋友,很能体会脚痒的难耐。用手挖破脚掌,脚痒仍不止,这个时候已经变成疼痛加脚痒的双邓咀挚垡重难耐。如果要是用一些治疗脚气的药物后,也常常反反复复,效果有限。毕竟药物治疗脚气只是一个方面,还有生活、环境、身体等方面的原因的。那么我们改如何去解决呢?方法也很简单,我们可以将灰烬在患处涂抹,会即刻止痒。一般的脚气,每天多涂抹几次,坚持几天就会痊愈,这个方法很灵验!平时也可以每天或者隔一天、两天涂抹一次,来预防脚痒的发生。如果您的脚气特别严重的话,可以结合艾灸,会有更好的效果。需要注意的是,我们要养成一个良好的卫生习惯,经常换洗衣袜、穿透气性比较好的鞋子等。

6、第六个妙用:作为干燥剂来吸湿气。有的人脚爱出汗,在脱下来的鞋子里放上一包艾灰,有明显的吸湿哦,而且效果一流。如果收集艾条燃烧后的灰烬比较多的话,可以放在床底、书柜、储物间、衣柜里面,也可以吸湿气呦。

7、第七个妙用:用于宝宝红屁股。宝宝经常会有红屁股,每个做妈妈的都很心疼,常常用了不少膏啊霜啊油啊之类的,效果也是反反复复。尤其害怕会有依赖性、过敏性。常常是既心疼又担心,而且用着也很不放心。经常会和别的妈妈们经常聊长聊短的,到处找方法。如果要是婆婆等长一辈有解决红屁股的经验还好,要是没有的话弄得全家都动员。这也难怪,毕竟宝宝是妈妈的心头肉,爸爸的小棉袄,是全家的宝。那该怎么解决呢?其实方法很简单,用艾灰加适量香油调均匀后,涂在儿子的红屁股处,然后照例穿上纸尿裤,等到下次换的时候发现,哈哈小宝宝的屁股一点也不红了。对于有宝宝的妈妈可以试一下哦。其实大人的湿疮之类的也可以这样来用。

8、第八个妙用:当做肥料给花花草草施肥。艾灰是天然的草木灰肥料,把灰烬搅拌在花花草草的土里,来肥沃土壤,这样种养的花花草草都长的比较旺盛,开的花比较艳丽。
