1、 1、视网膜脱离 它是近视眼最常见的并发症。厦门大学附属厦门眼科专家介绍,由于近视眼眼轴伸长及眼内踣蛟砻遐营养障碍,视网膜周边部常发生囊样变性、格子样变性等,变性区视网膜非常薄,极易发生穿孔,有的已经穿孔形成于性裂孔,再加上玻璃体液化、活动度增加,牵拉视网膜发生脱离。有数据显示,在视网膜脱离中,70%是近视眼。

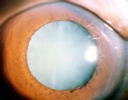
2、白内障 近视眼眼内营养代谢不正常,使晶状体的囊膜通透性改变,晶状体营养障碍和代谢失常而逐渐发生混浊,视力逐渐减退产生并发性白内障。这种白内障发展缓慢,以核心混浊和后囊膜混浊为主。

3、黄斑出血和黄斑变性 近视眼眼部血液供应差,视网膜缺血,视网膜产生一种新生血管生长因子,这些因子使视网膜下新生血管生长,这些新生血管管壁极薄,极易破裂出血,出血后形成黄斑出血。出血吸收后,新生血管可再破裂、再出血,多次出血后局部形成短痕,致黄斑变性,黄斑变性永久性损害视力。

4、青光眼 近视眼的房角处滤帘结构不正常,所以眼内的房水流出阻力较大,容易引起眼压升高。据统计高度近视眼30%有青光眼,这种青光眼会造成视力渐渐丧失。

5、斜视 主要是两眼视力不等造成的,因两眼视力相差较多,副眼的伴随程度降低,久之便废弃不用,形成斜视。

6、眼突或眼睛凹陷 长时间戴近视镜患者都有不同程度的眼突表一是眼睛明显突出,二是两眼突出程度不同,造成不对称,直接影响面部形象;部分近视者因戴镜等原因引起眼睛及周围肌肉萎缩,看起来凹陷且萎缩。
